Dental Crown in Ahmedabad at Shinora Clinic

Treatment Details
Description
A healthy and confident smile is one of the most important aspects of your personality. When teeth get damaged, cracked, or weakened due to decay or injury, a dental crown becomes the best solution to restore both function and aesthetics. If you are looking for Dental Crown in Ahmedabad, our clinic provides advanced and customized crown dental care to give you a natural-looking and long-lasting solution.
At our crown dental clinic, we use high-quality materials and modern techniques to ensure your crown fits perfectly, blends seamlessly with your natural teeth, and restores your smile’s strength and beauty. Our expert team of dentists focuses on both comfort and precision, making us the preferred choice for patients searching for a dental crown specialist near me.
What is a Dental Crown?
A dental crown is a tooth-shaped cap that covers a damaged or decayed tooth to restore its strength, shape, size, and appearance. Crowns are commonly recommended for:
- Protecting weak or cracked teeth
- Covering large fillings
- Supporting a dental bridge
- Restoring worn-down teeth
- Covering dental implants
- Enhancing smile aesthetics
With crown dental care, you not only protect your teeth but also improve your confidence with a natural-looking restoration.
Types of Dental Crowns
When it comes to choosing the right dental crown in Ahmedabad, patients have multiple options based on their needs, budget, and cosmetic preferences. The most common types of crowns include:
- Provide the most natural look
- Perfect for front teeth
- Highly aesthetic but slightly less durable
- Blend well with natural teeth
- Suitable for people with metal allergies
- Durable and visually appealing
- Extremely strong and durable
- Ideal for back teeth
- Less aesthetic due to metallic color
- Stronger than pure porcelain
- Blend with natural teeth
- Long-lasting option
- Highly durable and strong
- Natural appearance
- Preferred for both front and back teeth
Porcelain Crowns
Ceramic Crowns
Metal Crowns (Gold or Alloys)
Porcelain-Fused-to-Metal (PFM) Crowns
Zirconia Crowns
Our dental crown specialist near me will guide you in selecting the right type of crown based on your specific case.
Dental Crown Price
The dental crown price in Ahmedabad depends on several factors, including the material used, the complexity of the procedure, and the expertise of the dentist. On average:
₹8,000 – ₹15,000
₹5,000 – ₹10,000
₹12,000 – ₹20,000
₹3,000 – ₹7,000
Porcelain Crowns:
PFM Crowns:
Zirconia Crowns:
Metal Crowns:
At our crown dental clinic, we believe in offering affordable yet premium quality crowns that ensure long-term durability and comfort. We also provide flexible treatment plans to make dental care accessible for everyone.
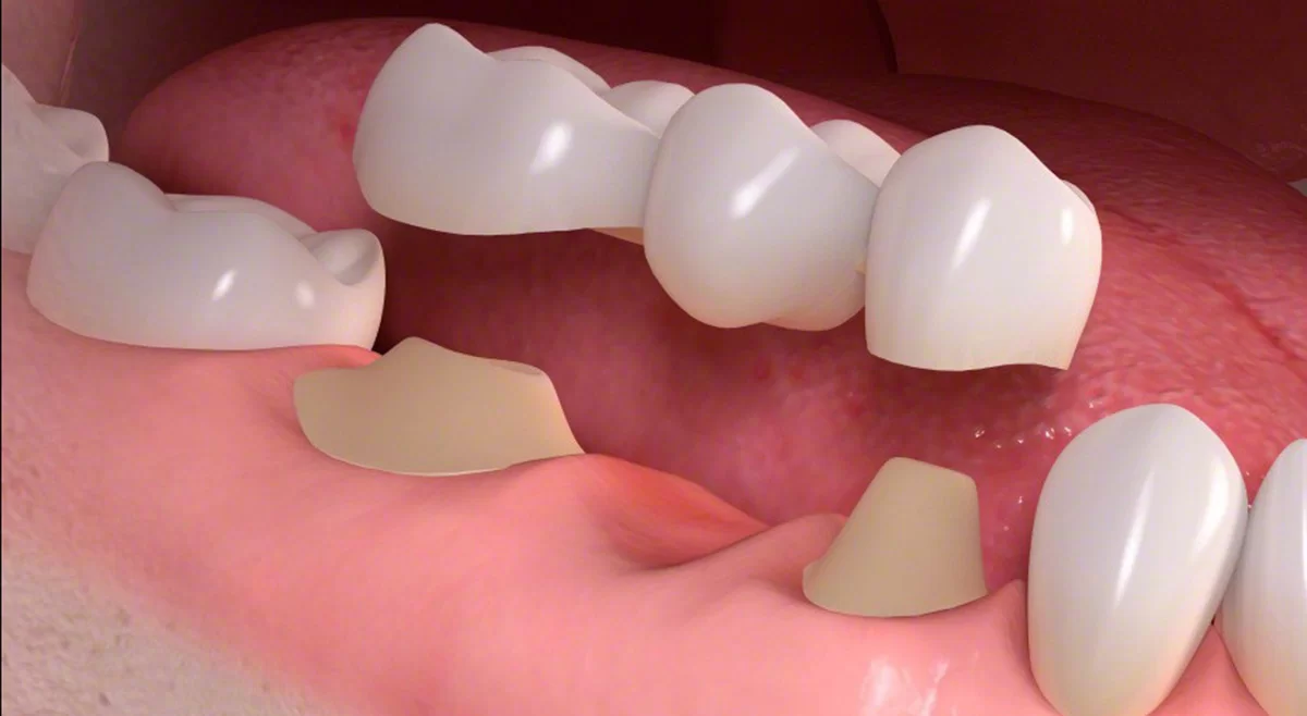
Dental Crowns and Bridges
While crowns restore individual teeth, dental bridges are used to replace missing teeth by anchoring them to adjacent crowned teeth. Together, dental crowns and bridges are one of the most effective ways to:
- Replace missing teeth
- Restore chewing function
- Improve speech
- Maintain facial structure
- Prevent shifting of adjacent teeth
Our crown dental care services include both single crowns and bridges, ensuring complete smile restoration.
Benefits of Dental Crowns
- Restores tooth strength and function
- Enhances smile aesthetics
- Provides long-lasting durability
- Protects weak or damaged teeth
- Improves oral health and confidence
Choosing a dental crown in Ahmedabad from our clinic means you get a customized solution designed to last for years with proper care.
Why Choose Our Crown Dental Clinic in Ahmedabad?
- Experienced dental crown specialist near me
- Advanced equipment and digital dentistry techniques
- Affordable dental crown price packages
- Personalized treatment plans
- Painless and comfortable procedures
- Long-lasting results with premium materials
Our focus is not just on restoring your teeth but also on giving you a smile that looks and feels completely natural.
Book Your Consultation Today
If you are experiencing tooth damage, decay, or missing teeth, a dental crown in Ahmedabad could be the right solution for you. Visit our crown dental clinic for advanced crown dental care under the guidance of an expert dental crown specialist near me.
Schedule your appointment today and take the first step towards a healthier, brighter smile.